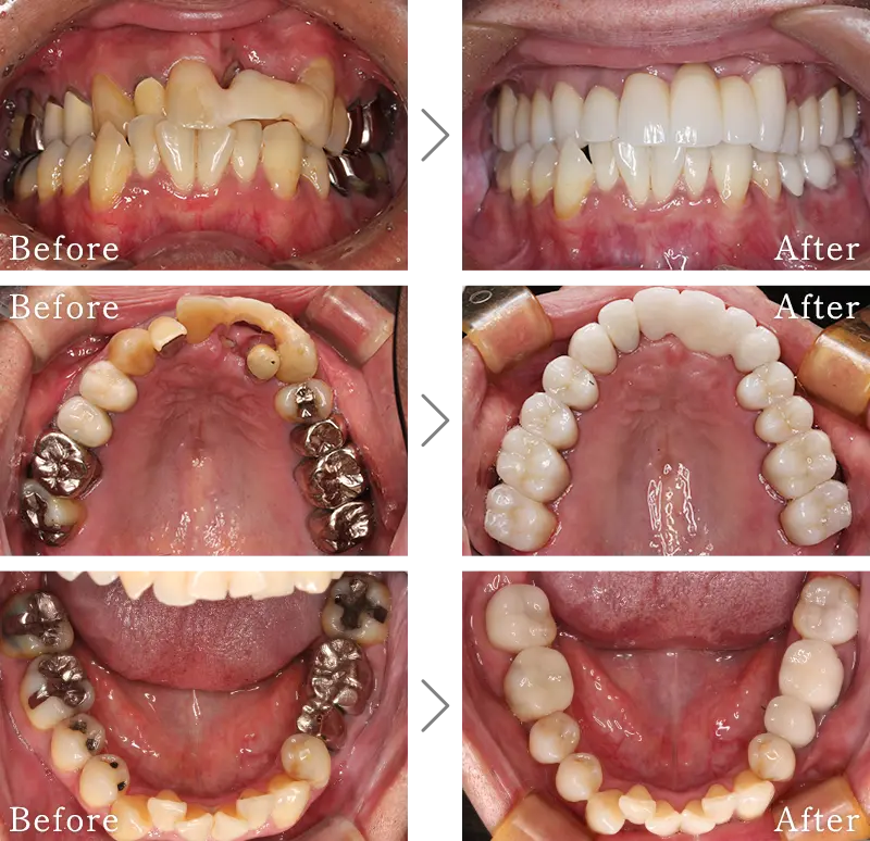
セラミック治療とは
伊丹の歯医者 ヒカルノ歯科・矯正歯科では、セラミック治療をはじめ、歯の見た目も意識した審美的歯科治療にも対応しております。
セラミック治療は、本物の歯のように白く自然な透明感のある「セラミック」という素材を用いて行う治療です。虫歯の治療で歯を削った後は、金属(いわゆる銀歯)で補う方法が一般的ですが、白い歯とかけ離れた見た目に不満を持たれる方を多いと思います。
セラミックは見た目の美しさはさることながら、硬さも天然の歯に近く、機能面でも申し分ありません。
セラミック治療の
3つの特長
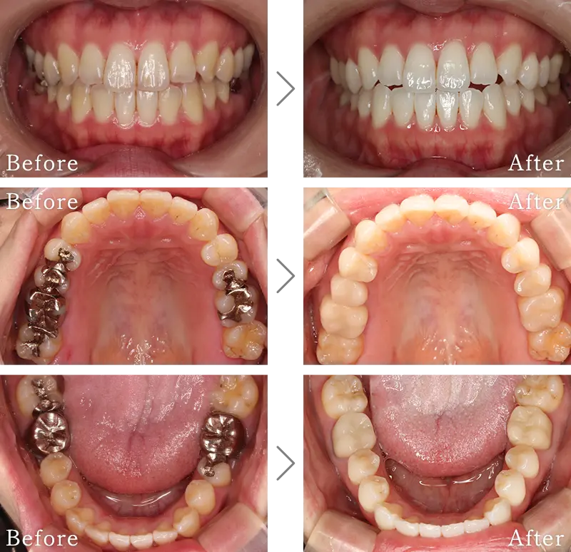
高い審美性
セラミックは、豊富な色調と特有の透明感があり天然歯と色調を合わせることができます。また、保険適応のプラスチック素材と違い、セラミックは物性が化学的に安定しているので、しっかりメインテナンスすれば長年使用していても変形や変色はほぼありません。
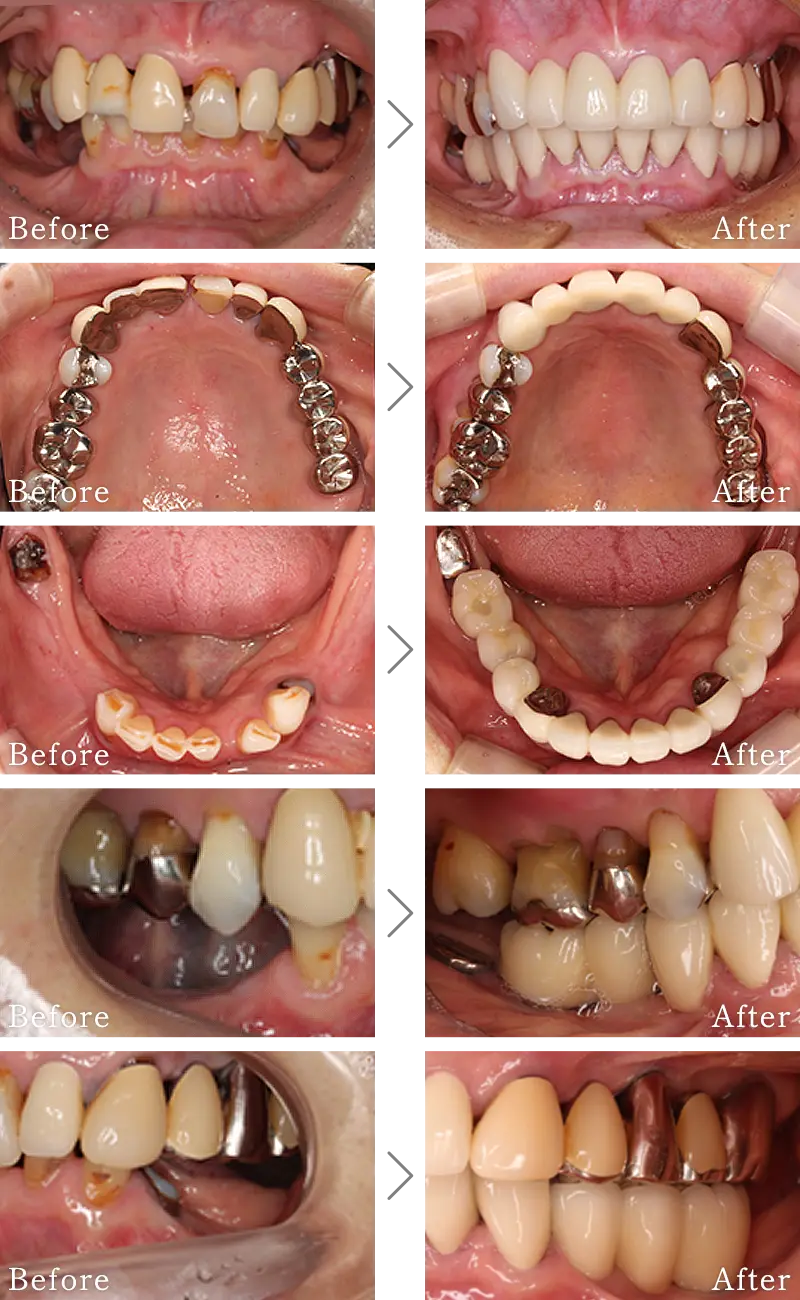
にも繋がる
銀歯やプラスチックの詰め物・被せ物は、長年使用すると徐々に変形し、虫歯再発の大きな原因となります。しかし、セラミックは物性が化学的に安定しているので変形することがなく、虫歯の再発リスクを大きく減らします。また、セラミック特有の滑らかな表面が汚れが付きにくくし、歯周病の誘発を抑える特長もあります。
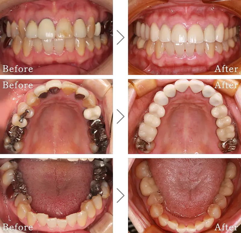
心配がいらない
保険適用の銀歯に含まれているパラジウムや銀は金属アレルギーになりやすい物質の為、身体に良い素材と言えません。しかしメタルフリーであるセラミック治療では、非金属であるセラミックのみを使って治療を行いますので、金属アレルギーの方でも安心して治療をお受けいただけます。










