伊丹市 歯科 歯医者

セラミック症例集

セラミック治療症例集
CERAMICS

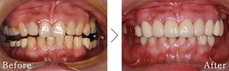
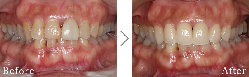
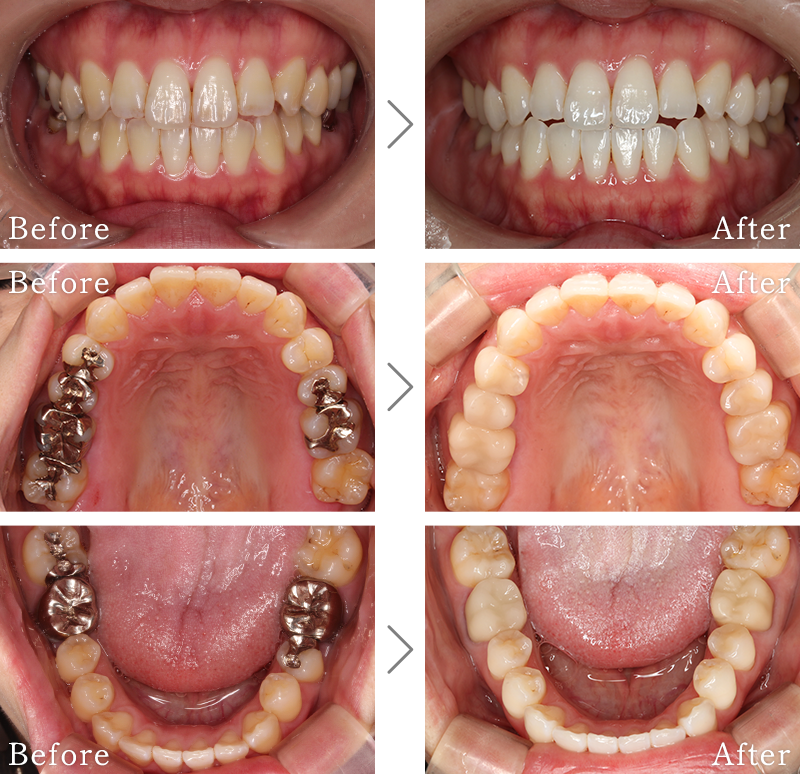
CASE1
主訴 金属を全て無くしたい
治療法 セラミックインレーとセラミッククラウンでの再治療
治療期間 3ヶ月
費用 1,025,200円(税込)
副作用
  • 神経のある歯に知覚過敏が生じることがある
  • 過剰な負荷がかかると欠けることがある
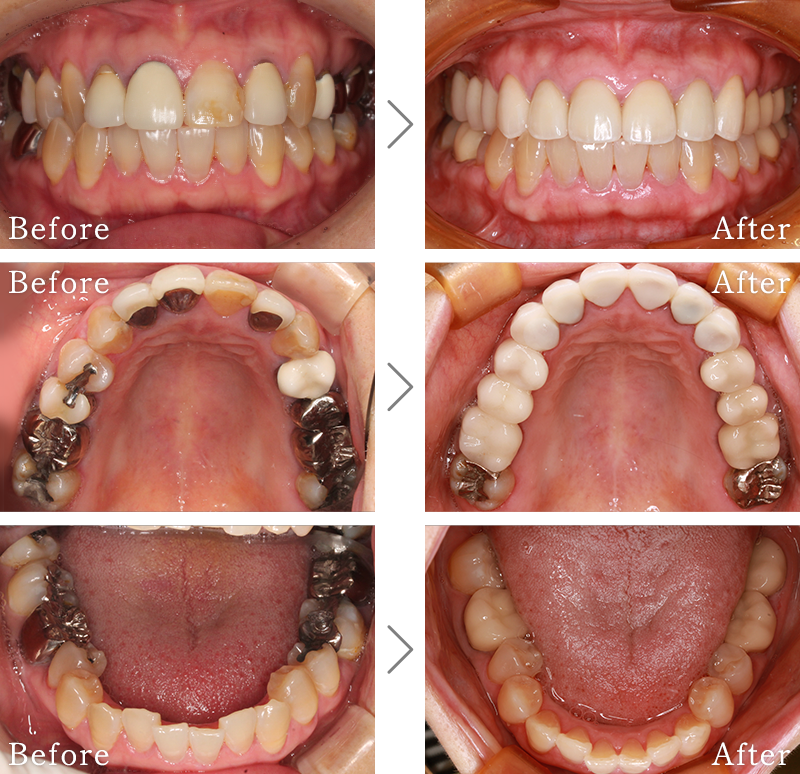
CASE2
主訴 歯の色が黄色いので白くしたい
治療法 ホワイトニングを行った後、セラミックインレーとセラミッククラウンにて再治療
治療期間 8ヶ月
費用 2,517,900円(税込)
副作用
  • 神経のある歯に知覚過敏が生じることがある
  • 過剰な負荷がかかると欠けることがある
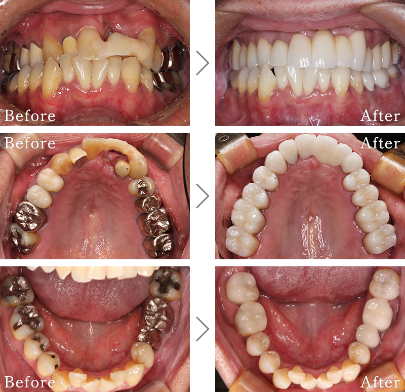
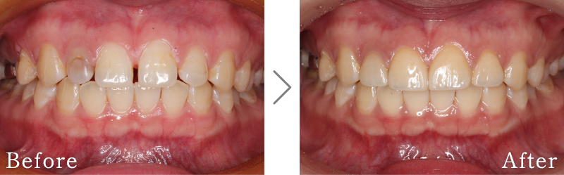
CASE3
セラミック治療症例3
主訴 金属を無くしたい
治療法 セレックインレーにて再治療
治療期間 2週間
費用 165,000円(税込)
副作用
  • 過剰な負荷がかかると欠けることがある
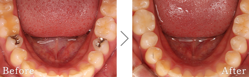
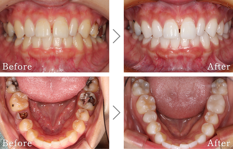
CASE4
セラミック治療症例4
主訴 銀歯が目立つので何とかしたい
治療法 セレックインレー、セラミッククラウンにて再治療
治療期間 3ヶ月
費用 687,500円(税込)
副作用
  • 神経のある歯に知覚過敏が生じることがある
  • 過剰な負荷がかかると欠けることがある
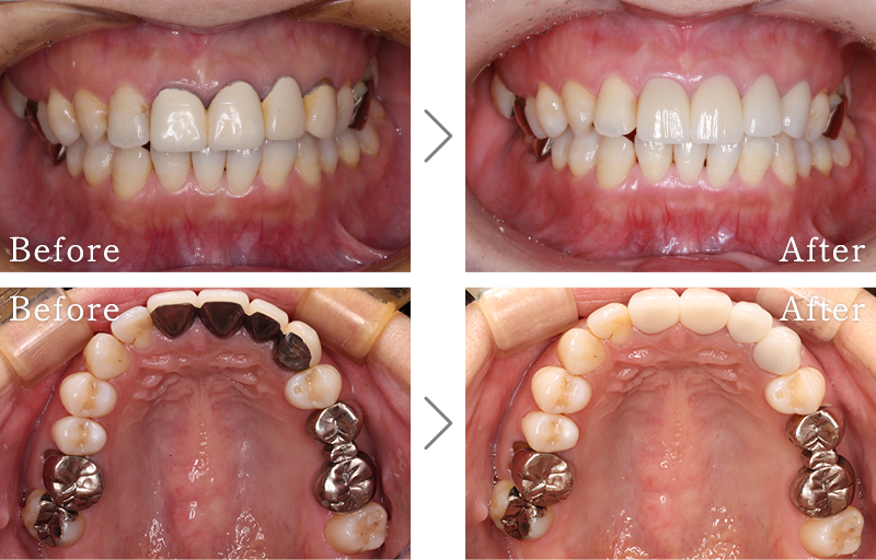
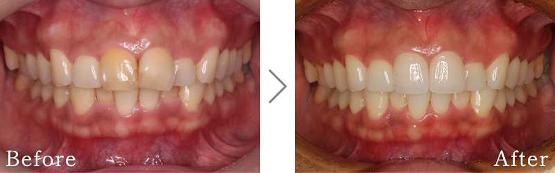
CASE5
主訴 歯の色をきれいにしたい
治療法 ホワイトニングとセラミッククラウンと保険内でのレジン充填にて対応
治療期間 5ヶ月
費用 184,800円(税込)
副作用
  • ホワイトニングでは知覚過敏が一時的に出ることがあります
  • 過剰な負荷がかかると欠けたり、脱離したりすることがある
CASE6
主訴 笑った時に前歯の根元が黒いのが気になる
治療法 セラミッククラウンにて再治療
治療期間 4ヶ月
費用 629,200円(税込)
副作用
  • 過剰な負荷がかかると欠けたり、脱離したりすることがある
CASE7
セラミック治療症例7
主訴 前歯に隙間があるのを治したい
治療法 ラミネートベニアとセラミッククラウンにて治療
治療期間 3ヶ月
費用 629,200円(税込)
副作用
  • 過剰な負荷がかかると欠けたり、脱離したりすることがある
CASE8
セラミック治療症例8
主訴 前歯をきれいにしたい
治療法 根管治療後、セラミッククラウンにて治療
治療期間 4ヶ月
費用 314,600円(税込)
副作用
  • 過剰な負荷がかかると欠けたり、脱離したりすることがある
CASE9
セラミック治療症例10
主訴 矯正無しで前歯の見た目をきれいにしたい
治療法 セラミッククラウンで治療
治療期間 2ヶ月
費用 629,200円(税込)
副作用
  • 神経のある歯に知覚過敏が生じることがある
  • 過剰な負荷がかかると欠けることがある
CASE10
主訴 通っていた歯科医院で治せないと言われた
きれいにして欲しい
治療法 ホワイトニングとセレックインレー、セラミッククラウンで再治療
治療期間 11ヶ月
費用 2,602,600円(税込)
副作用
  • 過剰な負荷がかかると欠けたり、脱離したりすることがある
診療時間
9:00~13:00
15:00~18:30

【休診】木曜/日曜/祝日 =14:00~17:30


〒664-0881
兵庫県伊丹市昆陽6-117-8

アクセスページ →

求人情報 求人情報
トップへ