伊丹市 歯科 歯医者

矯正歯科症例集

大人の矯正症例集
ORTHODONTICS

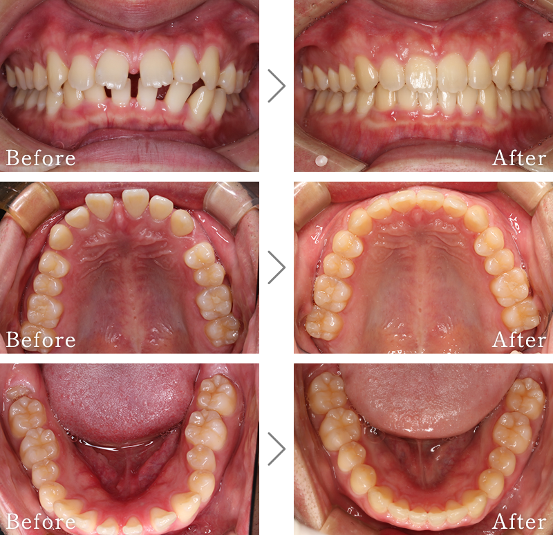
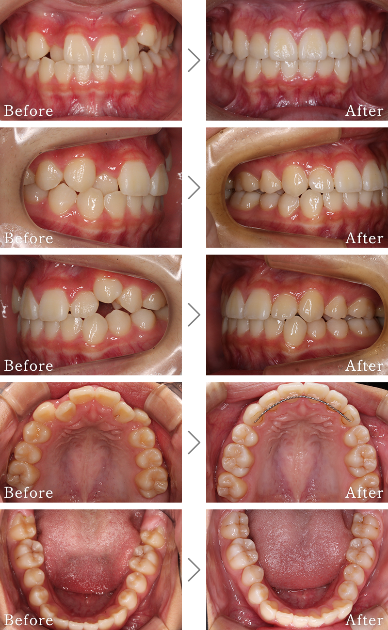
CASE1
主訴 ガタガタの歯並び(叢生・乱杭歯)を治したい
治療法 マウスピース型取り外し式矯正装置(インビザライン)を用いて両顎の矯正治療を実施
治療期間 1年9ヶ月(※保定期間除く)
費用 90万円(税込)
副作用
  • マウスピースを装着することにより、慣れるまで違和感や締め付け感などを感じることがあります。
  • インビザライン(マウスピース矯正装置)を決められた時間及び期間装着しないと、シミュレーション通り歯が動かない場合があります。
  • 難症例においては、マウスピース矯正のみで対応できないケースがあります。その場合は、ワイヤー矯正併用での対応となります。
  • 矯正治療後、決められた仕様、期間、保定装置をつけないと後戻りする可能性があります。
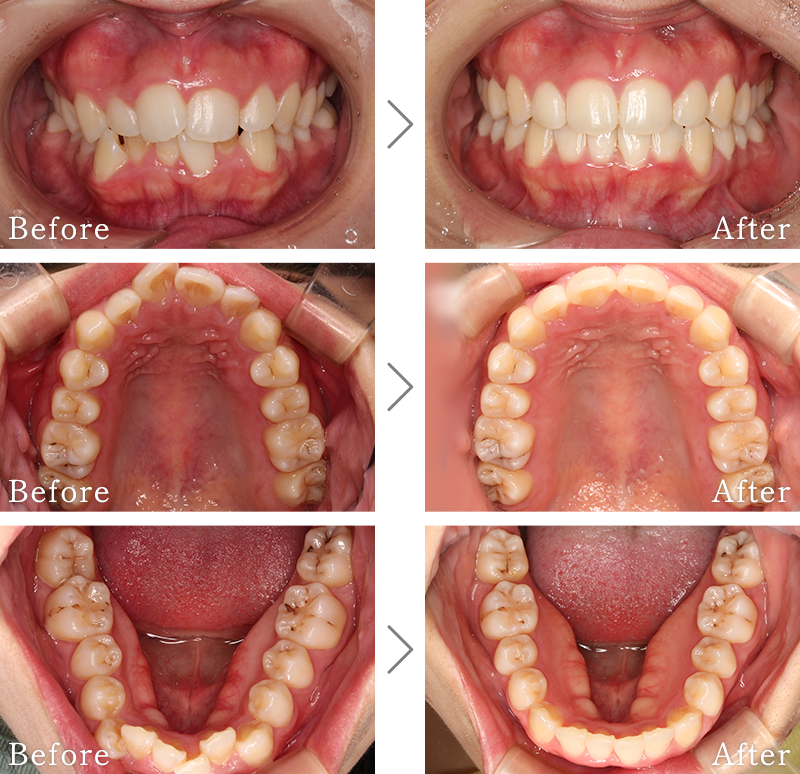
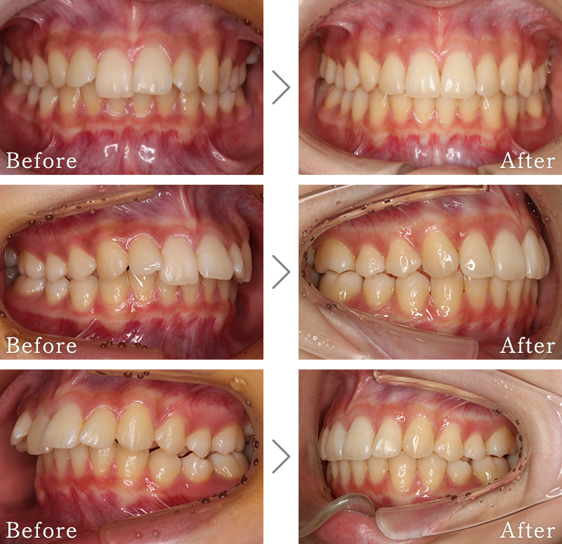
CASE2
主訴 前歯を引っ込めたい(出っ歯・上顎前突を治したい)
治療法 マウスピース型取り外し式矯正装置(インビザライン)を用いて
治療期間 2年6ヶ月(※保定期間除く)
費用 90万円(税込)
副作用
  • マウスピースを装着することにより、慣れるまで違和感や締め付け感などを感じることがあります。
  • インビザライン(マウスピース矯正装置)を決められた時間及び期間装着しないと、シミュレーション通り歯が動かない場合があります。
  • 難症例においては、マウスピース矯正のみで対応できないケースがあります。その場合は、ワイヤー矯正併用での対応となります。
  • 矯正治療後、決められた仕様、期間、保定装置をつけないと後戻りする可能性があります。
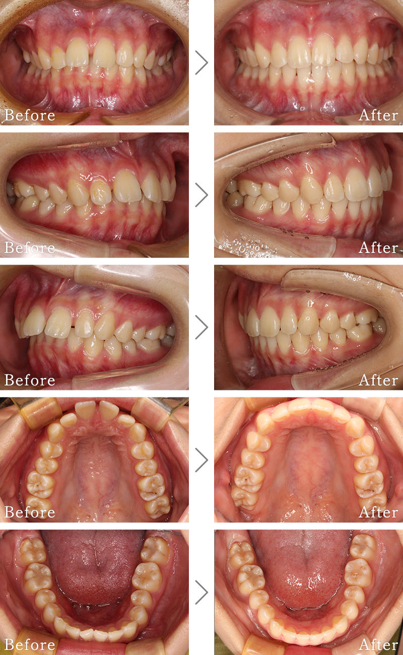
CASE3
主訴 入れ歯も合わずガタガタの歯並び(叢生・乱杭歯)を治したい
治療法 マウスピース型取り外し式矯正装置(インビザライン)を用いて
治療期間 1年7ヶ月(※保定期間除く)
費用 90万円(税込)
副作用
  • マウスピースを装着することにより、慣れるまで違和感や締め付け感などを感じることがあります。
  • インビザライン(マウスピース矯正装置)を決められた時間及び期間装着しないと、シミュレーション通り歯が動かない場合があります。
  • 難症例においては、マウスピース矯正のみで対応できないケースがあります。その場合は、ワイヤー矯正併用での対応となります。
  • 矯正治療後、決められた仕様、期間、保定装置をつけないと後戻りする可能性があります。
  • 歯の大きさが左右で著しく違う場合や、上下で歯の本数が合わない場合には正中(歯の真ん中)がズレることがあります。
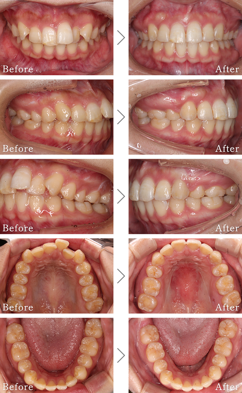
CASE4
主訴 すきっ歯(空隙歯列・上下顎前突)を治したい
治療法 マウスピース型取り外し式矯正装置(インビザライン)を用いて両顎の矯正治療を実施
治療期間 1年3ヶ月(※保定期間除く)
費用 90万円(税込)
副作用
  • マウスピースを装着することにより、慣れるまで違和感や締め付け感などを感じることがあります。
  • インビザライン(マウスピース矯正装置)を決められた時間及び期間装着しないと、シミュレーション通り歯が動かない場合があります。
  • 難症例においては、マウスピース矯正のみで対応できないケースがあります。その場合は、ワイヤー矯正併用での対応となります。
  • 矯正治療後、決められた仕様、期間、保定装置をつけないと後戻りする可能性があります。
CASE5
主訴 上の出っ歯(上顎前突)を治したい
治療法 マウスピース型取り外し式矯正装置(インビザライン)を用いて
治療期間 2年3ヶ月(※保定期間除く)
費用 90万円(税込)
副作用
  • マウスピースを装着することにより、慣れるまで違和感や締め付け感などを感じることがあります。
  • インビザライン(マウスピース矯正装置)を決められた時間及び期間装着しないと、シミュレーション通り歯が動かない場合があります。
  • 難症例においては、マウスピース矯正のみで対応できないケースがあります。その場合は、ワイヤー矯正併用での対応となります。
  • 矯正治療後、決められた仕様、期間、保定装置をつけないと後戻りする可能性があります。
CASE6
主訴 上の歯のすき間(すきっ歯)を治したい
治療法 マウスピース型取り外し式矯正装置(インビザライン)を用いて
治療期間 1年1ヶ月(※保定期間除く)
費用 90万円(税込)
副作用
  • マウスピースを装着することにより、慣れるまで違和感や締め付け感などを感じることがあります。
  • インビザライン(マウスピース矯正装置)を決められた時間及び期間装着しないと、シミュレーション通り歯が動かない場合があります。
  • 難症例においては、マウスピース矯正のみで対応できないケースがあります。その場合は、ワイヤー矯正併用での対応となります。
  • 矯正治療後、決められた仕様、期間、保定装置をつけないと後戻りする可能性があります。
CASE7
主訴 ガタガタ(叢生)を治したい
治療法 ワイヤー矯正(上顎のみ)
治療期間 1年4ヶ月(※保定期間除く)
費用 45万円(税込)
副作用
  • 矯正治療期間中に、ブラケットからワイヤーが脱離する可能性があります。
  • 矯正治療期間中は、矯正装置によって力が加わり、歯が動くことによる痛みや締め付け感、違和感などを感じることがあります。
  • 矯正装置が口腔内に触れ、口内炎ができる可能性があります。
  • 矯正治療後、決められた仕様、期間、保定装置をつけないと後戻りする可能性があります。
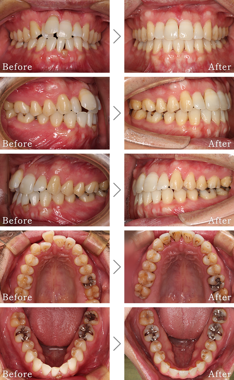
CASE8
主訴 歯がおかしな所から生えてきた(異所放出)、出っ歯(上顎前突)とガタガタ(叢生)治したい
治療法 抜歯を伴うワイヤー矯正
治療期間 3年1ヶ月(※保定期間除く)
費用 72万円(税込)
副作用
  • 矯正治療期間中に、ブラケットからワイヤーが脱離する可能性があります。
  • 矯正治療期間中は、矯正装置によって力が加わり、歯が動くことによる痛みや締め付け感、違和感などを感じることがあります。
  • 矯正装置が口腔内に触れ、口内炎ができる可能性があります。
  • 矯正治療後、決められた仕様、期間、保定装置をつけないと後戻りする可能性があります。
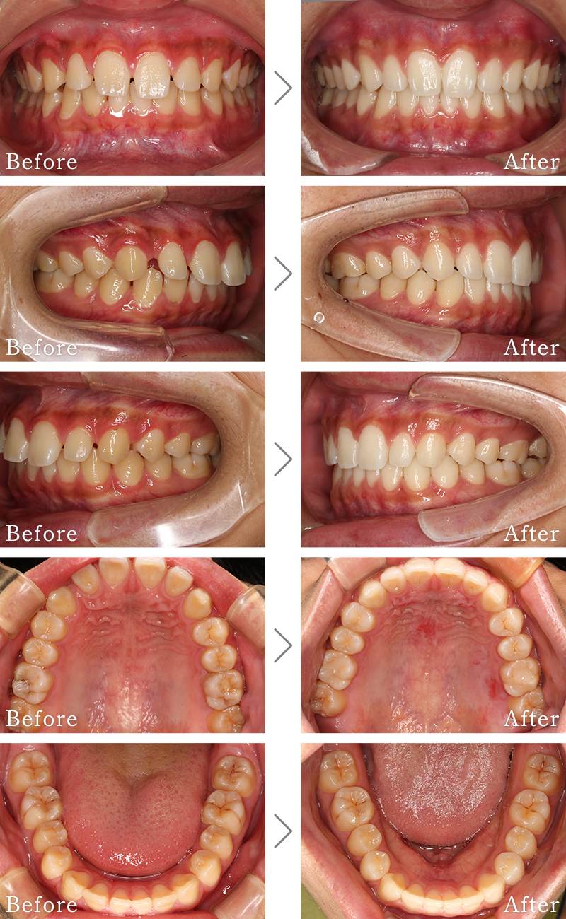
CASE9
主訴 口元が出ている(上下顎前突)のを治したい
治療法 抜歯を伴うワイヤー矯正
治療期間 2年3ヶ月(※保定期間除く)
費用 72万円(税込)
副作用
  • 矯正治療期間中に、ブラケットからワイヤーが脱離する可能性があります。
  • 矯正治療期間中は、矯正装置によって力が加わり、歯が動くことによる痛みや締め付け感、違和感などを感じることがあります。
  • 矯正装置が口腔内に触れ、口内炎ができる可能性があります。
  • 矯正治療後、決められた仕様、期間、保定装置をつけないと後戻りする可能性があります。
診療時間
9:00~13:00
15:00~18:30

【休診】木曜/日曜/祝日 =14:00~17:30


〒664-0881
兵庫県伊丹市昆陽6-117-8

アクセスページ →

求人情報 求人情報
トップへ