伊丹市 歯科 歯医者

小児矯正症例集

こどもの矯正症例集
PEDIATRIC

CASE1
主訴 受け口(反対咬合)を治したい
治療法 筋機能装置(ムーシールド)を用いて
治療期間 7ヶ月(※保定期間除く)
費用 7万円(税込)
副作用
  • 矯正治療後、決められた仕様、期間、保定装置をつけないと後戻りする可能性があります。
  • 顎骨の成長量によっては再発する可能性があります。
CASE2
主訴 ガタガタの歯並び(叢生・狭窄歯列)、受け口(下顎前突)を治したい
治療法 Ⅰ期:拡大床/フェイスマスク
Ⅱ期:ワイヤー矯正(非抜歯)
治療期間 7年4ヶ月(※保定期間除く)
費用 72万円(税込)
副作用
  • 矯正治療期間中に、ブラケットからワイヤーが脱離する可能性があります。
  • 矯正治療期間中は、矯正装置によって力が加わり、歯が動くことによる痛みや締め付け感、違和感などを感じることがあります。
  • 矯正装置が口腔内に触れ、口内炎ができる可能性があります。
  • 矯正治療後、決められた仕様、期間、保定装置をつけないと後戻りする可能性があります。
  • 骨格の成長に伴い、受け口が再発する可能性があります。
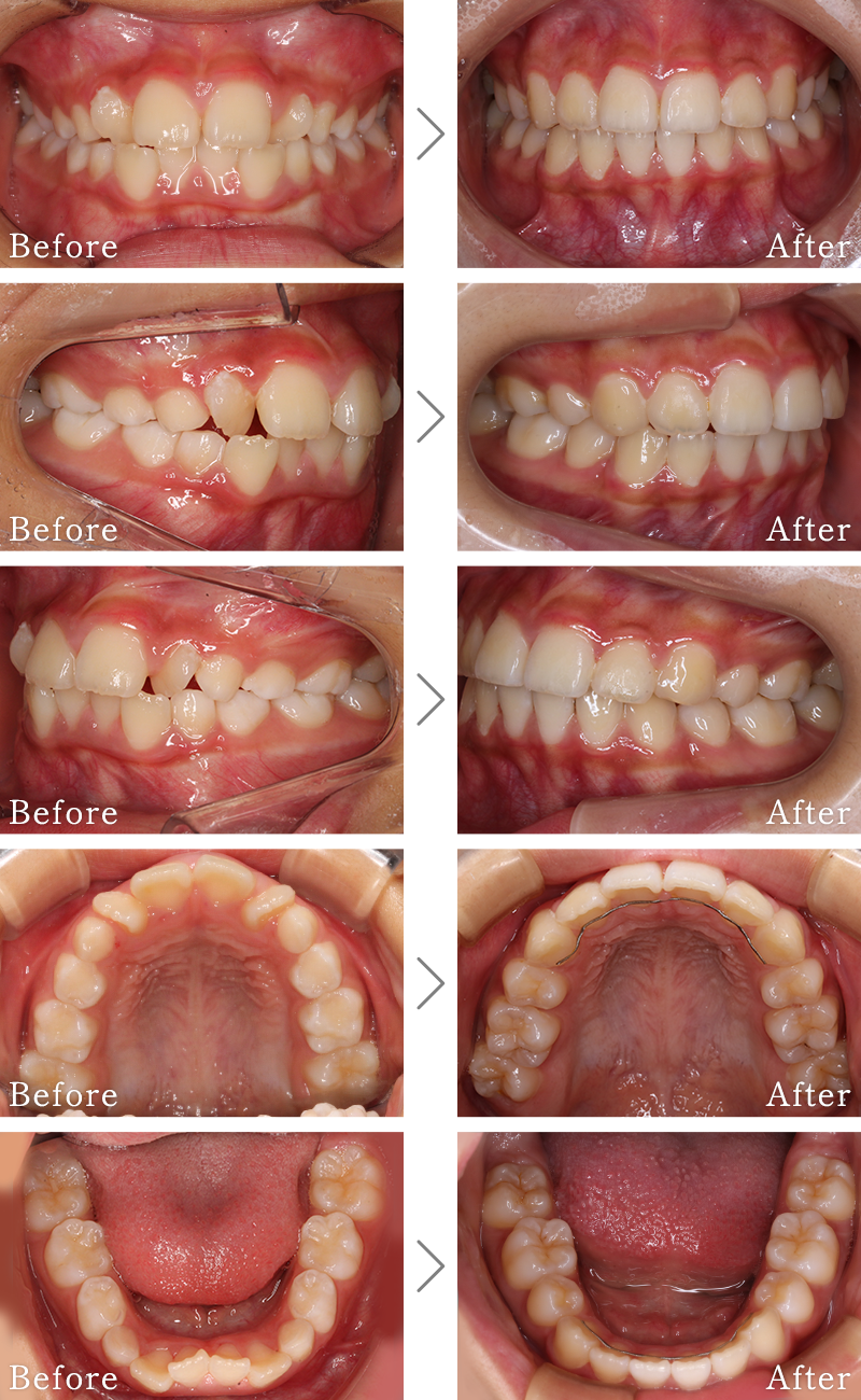
CASE3
主訴 ねじれてる歯(捻転歯)、ガタガタ(叢生)を治したい
治療法 Ⅰ期:拡大床
Ⅱ期:ワイヤー矯正(抜歯)
治療期間 2年3ヶ月(※保定期間除く)
費用 72万円(税込)
副作用
  • 矯正治療期間中に、ブラケットからワイヤーが脱離する可能性があります。
  • 矯正治療期間中は、矯正装置によって力が加わり、歯が動くことによる痛みや締め付け感、違和感などを感じることがあります。
  • 矯正装置が口腔内に触れ、口内炎ができる可能性があります。
  • 矯正治療後、決められた仕様、期間、保定装置をつけないと後戻りする可能性があります。
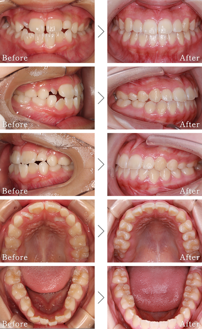
CASE4
主訴 歯が生えるスペースがない、ガタガタ(叢生)を治したい
治療法 Ⅰ期:拡大装置
Ⅱ期:ワイヤー矯正(非抜歯)
治療期間 2年8ヶ月(※保定期間除く)
費用 72万円(税込)
副作用
  • 矯正治療期間中に、ブラケットからワイヤーが脱離する可能性があります。
  • 矯正治療期間中は、矯正装置によって力が加わり、歯が動くことによる痛みや締め付け感、違和感などを感じることがあります。
  • 矯正装置が口腔内に触れ、口内炎ができる可能性があります。
  • 矯正治療後、決められた仕様、期間、保定装置をつけないと後戻りする可能性があります。
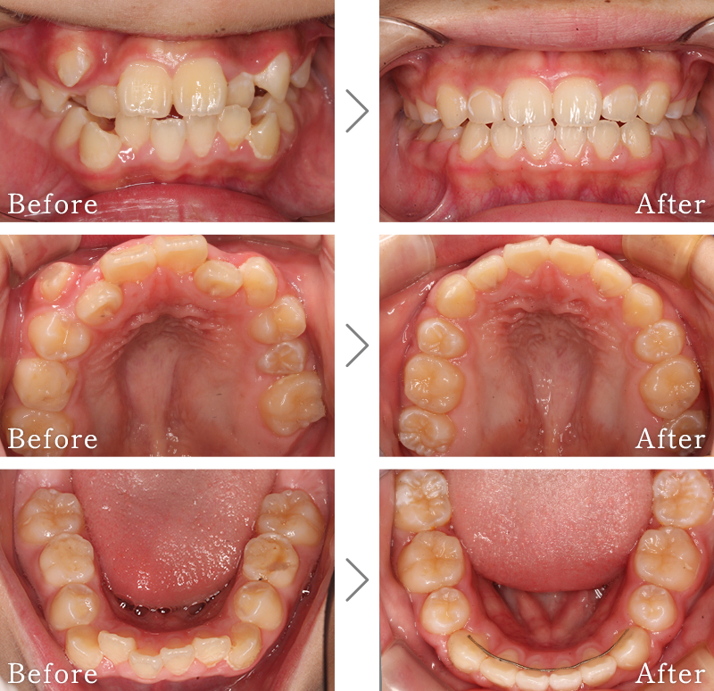
CASE5
主訴 八重歯(唇側転位)ガタガタ(叢生)を治したい
治療法 抜歯を伴うワイヤー矯正治療
治療期間 2年2ヶ月(※保定期間除く)
費用 72万円(税込)
副作用
  • 矯正治療期間中に、ブラケットからワイヤーが脱離する可能性があります。
  • 矯正治療期間中は、矯正装置によって力が加わり、歯が動くことによる痛みや締め付け感、違和感などを感じることがあります。
  • 矯正装置が口腔内に触れ、口内炎ができる可能性があります。
  • 矯正治療後、決められた仕様、期間、保定装置をつけないと後戻りする可能性があります。
診療時間
9:00~13:00
15:00~18:30

【休診】木曜/日曜/祝日 =14:00~17:30


〒664-0881
兵庫県伊丹市昆陽6-117-8

アクセスページ →

求人情報 求人情報
トップへ