伊丹市の歯医者 ヒカルノ歯科・矯正歯科 伊丹市の歯医者 ヒカルノ歯科・矯正歯科
診療時間
9:00~13:00
15:00~18:30

【休診】木曜、日曜、祝日 =14:00~17:30

治療のその先、
伊丹の皆さまの歯を
一生涯残せる診療

伊丹の歯医者 ヒカルノ歯科・矯正歯科では、虫歯を削って終わり、痛みを取り除いて終わり、というような安易な対処療法は行いません。痛みがあるところだけ、気になるところだけを治療しても、原因を改善しなければ治療を一生繰り返すことになってしまうのです。

その為、歯に痛みがある状態でない限り、歯を削る治療は原因が改善されてから行います。伊丹にある当院では、『なぜ虫歯になるのか』『なぜ歯周病になるのか』しっかりと原因をつきとめて一人ひとりの患者様に適した予防プログラムや治療をご提供いたします。

一生涯残せる診療

Treatment歯やお口のお悩みなら
何でもお任せください

伊丹の歯医者 ヒカルノ歯科・矯正歯科では、虫歯治療や痛みの少ない治療、歯周病治療、予防をはじめとする一般歯科から、矯正歯科、セラミック治療、インプラントなどの自費診療まで幅広く対応しております。伊丹で歯の事で何かお困り・お悩み事がございましたら、当院へご来院下さい。

健康で美しい歯へ導く
豊富な実績
症例紹介
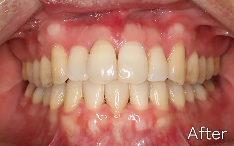
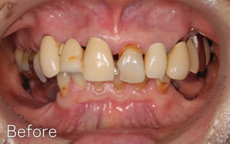
Orthodontic矯正歯科
症例1 before
症例1 after
主訴 ガタガタの歯並び(叢生・乱杭歯)を治したい
治療法 マウスピース型取り外し式矯正装置(インビザライン)を用いて
治療期間 1年7ヶ月(※保定期間除く)
費用 90万円(税込)
副作用
  • マウスピースを装着することにより、慣れるまで違和感や締め付け感などを感じることがあります。
  • インビザライン(マウスピース矯正装置)を決められた時間及び期間装着しないと、シミュレーション通り歯が動かない場合があります。
  • 難症例においては、マウスピース矯正のみで対応できないケースがあります。その場合は、ワイヤー矯正併用での対応となります。
  • 矯正治療後、決められた仕様、期間、保定装置をつけないと後戻りする可能性があります。
  • 歯の大きさが左右で著しく違う場合や、上下で歯の本数が合わない場合には正中(歯の真ん中)がズレることがあります。
その他の矯正歯科症例 ⇒
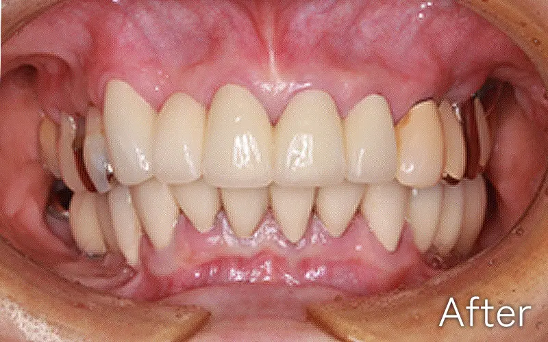
Imprantインプラント
症例2 before
症例2 after
主訴 入れ歯が合わず、痛くて噛めない。食事ができない。
治療法 入れ歯を新しく作成し、噛み合わせなどの確認をしたのち、左右2本ずつインプラントを使用して噛める状態に回復させています。
治療期間 5ヶ月
費用 CT:16,500円(税込)
+ 静脈内鎮静法:77,000円(税込)
+ インプラント治療:2,321,000円(税込)
合計:2,414,500円(税込)
副作用
  • 歯周病に感染・発症し重度に進行するとインプラントが抜けてしまうことがあります。
  • 手術後は数日間腫れが出る場合があります。
その他のインプラント症例 ⇒
Ceramicセラミック治療
症例3 before
症例3 after
主訴 前歯の被せ物の見た目が気になる。歯肉の部分が黒ずんで見える。
治療法 オールセラミッククラウンで反対側の天然の歯と同じ色合いを再現。
治療回数 3回
費用 143,000円(税込)
副作用
  • 治療に際して、神経を抜く事があります。
  • 神経を抜いた場合は、稀に根に感染を起こすことがあります。
  • 神経を残した場合でも、冷水痛が生じる可能性があります。
  • 麻酔が切れた際に、痛みや冷水痛を生じる可能性があります。
  • 歯を削る必要があります。
  • 治療箇所周囲の健康な歯を削る場合があります。
  • 被せ物や詰め物は経年劣化が起こる場合があります。
その他のセラミック治療症例 ⇒

明るく快適な空間の
伊丹の歯科医院

RESERVE
ご予約について

当日予約をご希望の方は、
一度お電話にてご相談ください

    Special伊丹のヒカルノ歯科・矯正歯科の
    スペシャルコンテンツ

    小児歯科・小児矯正特設ページ
    矯正歯科特設ページ
    マウスピース矯正特設ページ
    インプラント治療専門サイト
    審美歯科専門サイト

    ヒカルノ歯科・矯正歯科の
    5つの特長

    Feature 1

    カウンセリングの時間を
    最も重要と考えた
    治療方針

    伊丹の当院では、基本方針として「コミュニケーション歯科」を掲げ、患者様と一緒に行うカウンセリングの時間を最も重要な時間と考え、新しい独自のカウンセリングスタイルを主軸に、従来にはなかった提案型の歯科医療を行っています。

    当院のコンセプトページへ
    Feature 2

    生涯にわたって
    健康を維持する
    「MTM」に則った治療

    当院では、長期に渡る良好なお口の環境を回復維持させる為に、MTMという予防を前提とした治療を行っております。患者様のお口のリスクを徹底分析し、『なぜ虫歯になるのか』『なぜ歯周病になるのか』しっかりと原因をつきとめて一人ひとりの患者様に適した予防プログラムや治療をご提供いたします。

    予防歯科ページへ
    Feature 3

    歯1本を診るのではなく
    口腔内全体を診る
    「総合診断治療」

    ご本人が認識している以上の複合的な問題を抱えてしまっていて、虫歯や歯周病、噛みあわせの崩壊を招いているケースが多いです。伊丹の歯医者 ヒカルノ歯科・矯正歯科では、高いレベルでの総合的な診断を行い、さまざまな角度から治療計画を立て、治療の予後までを的確に判断しながら理想的な治療方法をご提案しています。

    総合診断治療ページへ
    Feature 4

    セカンドオピニオンにも
    対応しております

    セカンドオピニオンとは、単に"医者を変える"ということではなく、主治医以外の医師の意見を聞くということです。患者様にはご自身が1番納得できる医療を選ぶために主治医の先生を中心に、様々な意見を聞いて決めていただきたいと思っています。「主治医に勧められた以外の治療法を探している」「原因がよくわからないと言われた」「なかなか症状が改善しない」などございましたら、伊丹の歯医者 ヒカルノ歯科・矯正歯科へ一度ご相談ください。

    セカンドオピニオンページへ
    Feature 5

    CTや口腔内スキャナーなど
    万全の医療設備を完備

    患者様のお口の状態を3次元的に把握できるCTや、スティックタイプのカメラで歯型が採取できる口腔内スキャナーを完備しております。また、コンピュータ制御によって歯の修復物を設計から製作まで行うCAD/CAMシステム、歯周組織の再生療法時に用いる遠心分離機なども導入し、万全の医療設備で治療にあたります。

    クリニック紹介ページへ
    INFORMATION
    公式アカウント
    歯の豆知識
    求人情報
    診療時間
    9:00~13:00
    15:00~18:30

    【休診】木曜/日曜/祝日 =14:00~17:30


    〒664-0881
    兵庫県伊丹市昆陽6-117-8

    アクセスページ →

    当院では、施設基準等に適合している旨、厚生労働省地方厚生局に届け出を行っております。【施設基準等の詳細はこちら】

    ネット予約
    インスタグラム
    トップへ