伊丹市 歯科 歯医者

インプラント症例集

インプラント症例集
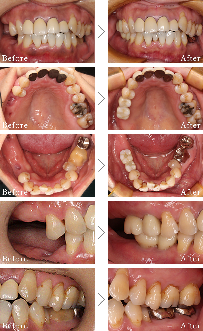
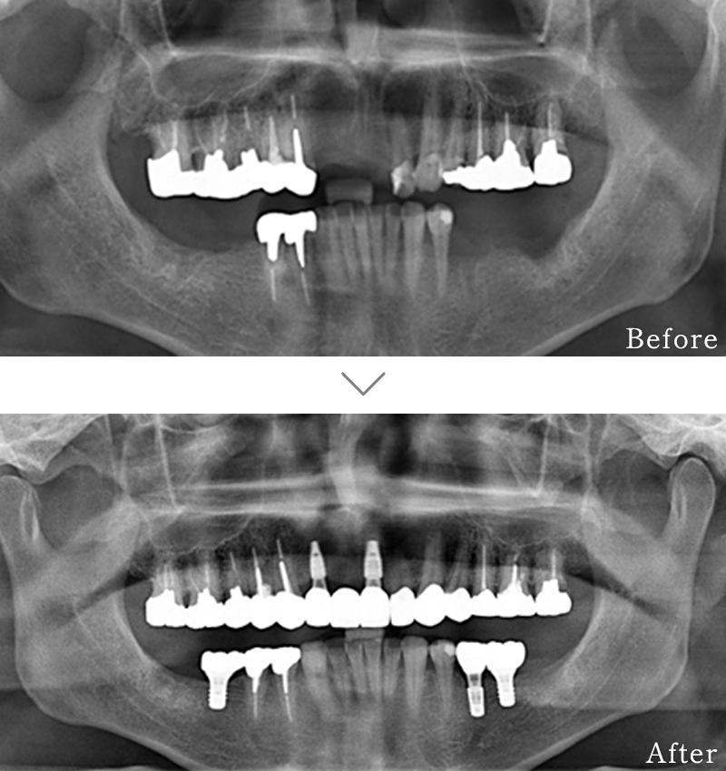
CASE

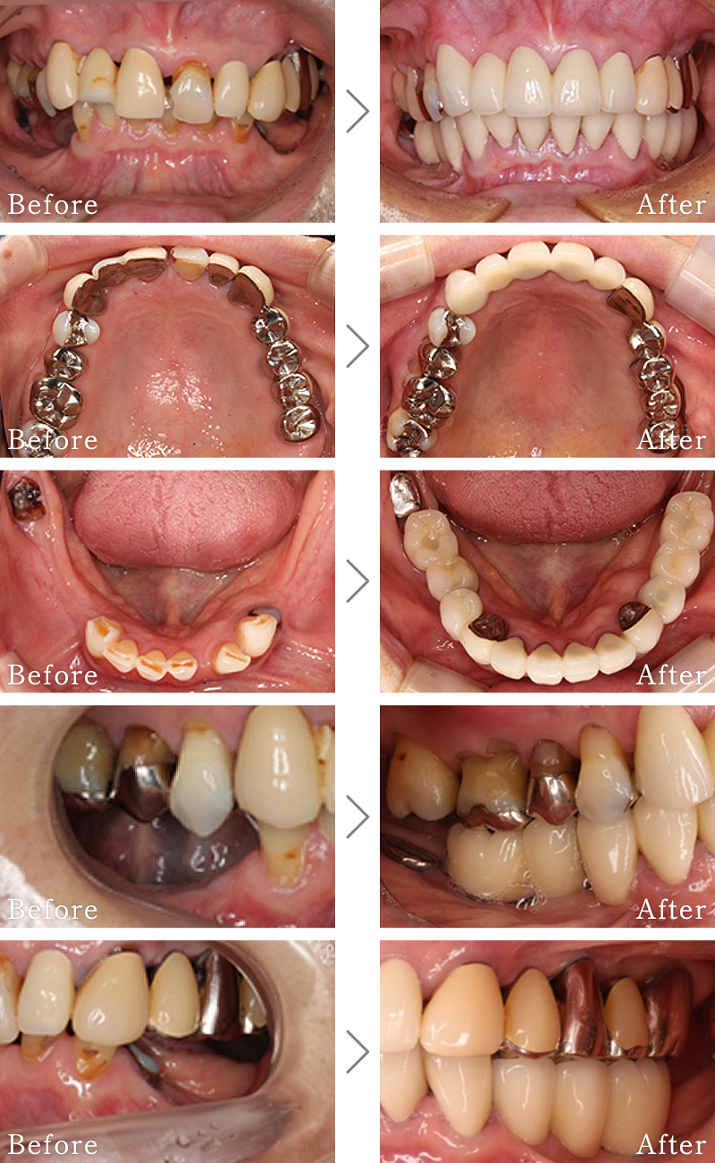
CASE1
主訴 入れ歯も合わず、しっかりと噛んで食事ができないとのことで来院されました。
治療法 上下ともにALL-ON-6と呼ばれる最少本数のインプラントで全ての歯を回復する治療を行なっています。歯の部分は全てセラミックで作成されています。
治療期間 5ヶ月
費用 CT:16,500円(税込)
+ 静脈内鎮静法:66,000円(税込)
+ ALL-ON-6×2:5,500,000円(税込)
合計:5,582,500円(税込)
副作用
  • 歯周病に感染・発症し重度に進行するとインプラントが抜けてしまうことがあります。
  • 手術後は数日間腫れが出る場合があります。
CASE2
主訴 奥歯でしっかりと噛むことができない、入れ歯もすぐに壊れてしまうとのことで来院されました。
治療法 下の奥歯を右1本、左2本のインプラントとセラミックの被せ物で噛み合わせを回復しています。
治療期間 4ヶ月
費用 CT:16,500円(税込)
+ インプラント治療:1,577,400円(税込)
合計:1,593,900円(税込)
副作用
  • 歯周病に感染・発症し重度に進行するとインプラントが抜けてしまうことがあります。
  • 手術後は数日間腫れが出る場合があります。
CASE3
主訴 入れ歯も合わず、しっかりと噛んで食事ができないとのことで来院されました。
治療法 上下ともにALL-ON-6と呼ばれる最少本数のインプラントで全ての歯を回復する治療を行なっています。歯の部分は全てセラミックで作成されています。
治療期間 10ヶ月
※矯正治療の期間は含まれておりません。
費用 CT:16,500円(税込)
+ インプラント治療:1,051,600円(税込)
+ 造骨処置(GBR):176,000円(税込)
合計:1,244,100円(税込)
※矯正治療費は含まれておりません。
副作用
  • 歯周病に感染・発症し重度に進行するとインプラントが抜けてしまうことがあります。
  • 手術後は数日間腫れが出る場合があります。
  • 歯肉移植時は、採取部位からの出血が数日続くことがあります。
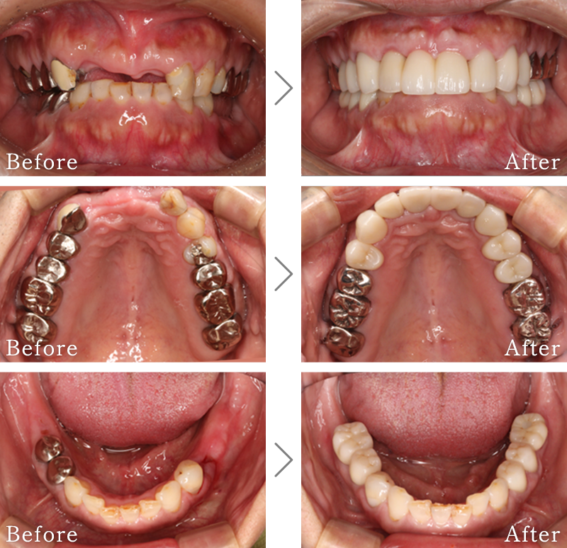
CASE4
主訴 右の奥歯は無くなって食事が噛めない。
治療法 上下2本ずつインプラントを使用して噛み合わせを回復させています。
治療期間 4ヶ月
費用 CT:16,500円(税込)
+ 静脈内鎮静法:66,000円(税込)
+ インプラント治療:2,103,200円(税込)
合計:2,185,700円(税込)
副作用
  • 歯周病に感染・発症し重度に進行するとインプラントが抜けてしまうことがあります。
  • 手術後は数日間腫れが出る場合があります。
CASE5
主訴 前歯がグラグラして噛めないのと抜けそうで心配。
治療法 抜歯した後、歯周病で溶けて無くなってしまった骨を再生する手術とインプラント手術を同時に行なっています。
治療期間 8ヶ月
費用 CT:16,500円(税込)
+ インプラント治療:525,800円(税込)
+ 造骨処置:88,000円(税込)
合計:630,300円(税込)
副作用
  • 歯周病に感染・発症し重度に進行するとインプラントが抜けてしまうことがあります。
  • 手術後は数日間腫れが出る場合があります。
  • 造骨処置を行なった部分に内出血などがあらわれる場合があります。
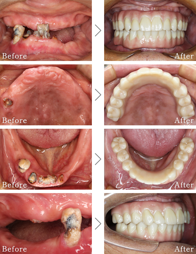
CASE6
主訴 入れ歯が合わず、痛くて噛めない。食事ができない。
治療法 入れ歯を新しく作成し、噛み合わせなどの確認をしたのち、左右2本ずつインプラントを使用して噛める状態に回復させています。
治療期間 5ヶ月
費用 CT:16,500円(税込)
+ 静脈内鎮静法:66,000円(税込)
+ インプラント治療:2,321,000円(税込)
合計:2,403,500円(税込)
副作用
  • 歯周病に感染・発症し重度に進行するとインプラントが抜けてしまうことがあります。
  • 手術後は数日間腫れが出る場合があります。
診療時間
9:00~13:00
15:00~18:30

【休診】木曜/日曜/祝日 =14:00~17:30


〒664-0881
兵庫県伊丹市昆陽6-117-8

アクセスページ →

求人情報 求人情報
トップへ